Formación Profesional:
Ortopedista y traumatólogo certificado con alta especialidad en cirugía articular de cadera y rodilla y experiencia en cirugía robótica.
Médico Cirujano, Universidad de Guadalajara (UdeG).
Especialidad en Ortopedia y Traumatología con mención honorífica - aval UNAM, 2020-2024.
Alta especialidad en cirugía articular de cadera y rodilla — aval UNAM, 2024–2025.
Consejo Mexicano de Ortopedia — Certificado vigente (vigencia hasta 2029).
Membresías y sociedades:
Sociedad Mexicana de Cirugía de Cadera — Miembro activo.
Colegio de Traumatología y Ortopedia de la Ciudad y Valle de México — Miembro activo.
Experiencia clínica:
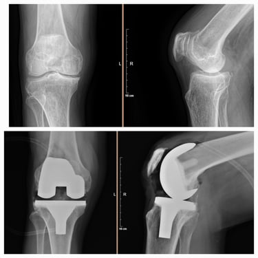
>500 procedimientos anuales de artroplastia de cadera y rodilla.
Más de 6 años de experiencia en Ortopedia y Traumatología.
Áreas de experiencia:
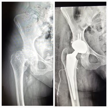
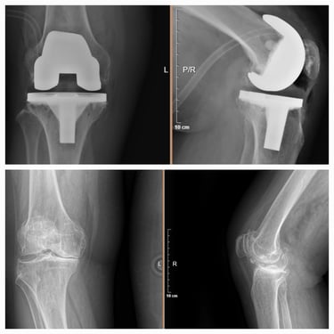
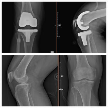
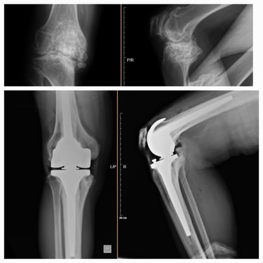
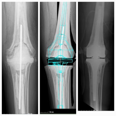
Artroplastia de rodilla (prótesis total/parcial).
Artroplastia de cadera (prótesis total/parcial).
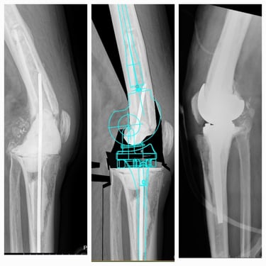
Cirugía de revisión de cadera y rodilla.
Casos complejos y manejo de complicaciones de cadera y rodilla
Cirugía robótica de cadera y rodilla (en casos seleccionados).
Lesiones deportivas (rodilla, cadera, hombro).
Lesiones, fracturas y enfermedades del Pie y tobillo.
Segunda opinión sobre enfermedades de cadera y rodilla
Desgaste articular de cadera y rodilla.
Problemas de columna.
Desgaste de Columna.
Cirugía y manejo de problemas de columna.
Manejo de secuelas y complicaciones de prótesis de cadera y rodilla.
Dolor articular, problemas de espalda y patología de columna (evaluación y referencia cuando aplica).
Docencia y divulgación:
Educación al paciente mediante artículos y materiales de preparación/recuperación.
Profesor de servicio de reemplazo aritcular en hospital de tercer nivel de traumatología y ortopedia.
Médico adscrito del servicio de reemplazo aritcular en hospital de tercer nivel de traumatología y ortopedia.
Interés en actualización continua y práctica basada en evidencia.






















