Servicios Médicos
Ofrecemos atención ortopédica especializada en cirugía articular y cuidado integral del paciente.
Diagnóstico y tratamiento de daños importantes en ligamentos, meniscos, cartílago o hueso que afectan la estabilidad y movimiento de la rodilla. Dependiendo de la gravedad, puede requerir cirugía reconstructiva o reemplazo articular, siempre con el objetivo de recuperar la función, disminuir el dolor y permitir que el paciente retome sus actividades diarias o deportivas.


Manejo de complicaciones
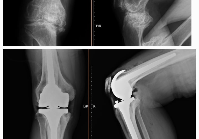
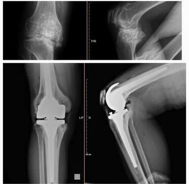
Cirugía de revisión de prótesis de cadera/rodilla: es una operación que se realiza cuando una prótesis ya no funciona adecuadamente, ya sea por aflojamiento, desgaste, infección o dolor persistente. En este procedimiento se retira la prótesis dañada y se coloca una nueva, con el objetivo de devolver estabilidad, movilidad y mejorar la calidad de vida del paciente.
Displasia del desarrollo de cadera: es una alteración en la formación de la articulación de la cadera que está presente desde el nacimiento. Puede provocar que la cabeza del fémur no encaje bien en el acetábulo (la cavidad de la pelvis), lo que con el tiempo ocasiona dolor, cojera y desgaste temprano de la articulación. Su detección y tratamiento oportuno permiten prevenir complicaciones y preservar la función de la cadera.
Secuelas de displasia de cadera






Cirugía de revisión de rodilla
El cuidado postoperatorio y el seguimiento son fundamentales para asegurar una recuperación adecuada tras una cirugía. Esto abarca la vigilancia de posibles complicaciones, el manejo del dolor y la evaluación del avance, así como el progreso en la rehabilitación.


Cirugía en la que se reemplaza la articulación dañada por una prótesis nueva. Se realiza en casos de desgaste severo, artrosis o lesiones que provocan dolor intenso y limitan la movilidad. El objetivo es devolver la capacidad de caminar, realizar actividades cotidianas sin dolor y mejorar la calidad de vida.
Prótesis de cadera y rodilla
Cirugía artroscópica
Cirugía artroscópica de rodilla: es una técnica mínimamente invasiva que utiliza pequeñas incisiones y una cámara para tratar lesiones dentro de la rodilla, como desgarros de menisco, lesiones de cartílago o problemas en los ligamentos. Al ser menos invasiva, permite una recuperación más rápida, menos dolor postoperatorio y cicatrices pequeñas, siendo una excelente opción en muchos pacientes con lesiones articulares.
Son daños en músculos, ligamentos o articulaciones causados por la práctica de ejercicio. El tratamiento ortopédico puede ir desde reposo, fisioterapia y medicamentos, hasta cirugía en casos severos, con el objetivo de recuperar movilidad y regresar de forma segura a la actividad física.
Lesiones deportivas


Viscosuplementación de rodilla
Es un tratamiento en el que se aplica ácido hialurónico dentro de la articulación de la rodilla para mejorar la lubricación y amortiguación. Se utiliza en casos de desgaste (artrosis) y ayuda a disminuir el dolor, reducir la rigidez y mejorar la movilidad, retrasando en muchos pacientes la necesidad de cirugía.


Atención de urgencias
...
Tratamiento de lesiones severas de rodilla
Valoración y tratamiento inmediato de lesiones en huesos, articulaciones, músculos y ligamentos. Busca aliviar dolor, estabilizar fracturas o luxaciones y prevenir complicaciones. Su objetivo es preservar la función y movilidad del paciente con intervenciones rápidas, seguras y basadas en protocolos médicos actualizados.
Preguntas Frecuentes
1. ¿Qué es el desgaste articular o artrosis?
El desgaste articular, también llamado artrosis, ocurre cuando el cartílago que protege las articulaciones se deteriora con el tiempo. Esto provoca dolor, rigidez y limita los movimientos.
2. ¿Por qué se desgastan las articulaciones?
El desgaste puede deberse a la edad, sobrepeso, antecedentes familiares, lesiones previas, deformidades óseas o al uso repetitivo de la articulación en la vida diaria o en el deporte.
3. ¿Qué articulaciones son las más afectadas?
Con mayor frecuencia se presentan en rodillas, caderas, manos y columna, ya que son las que más carga soportan.
4. ¿Cuáles son los síntomas más comunes?
Dolor al mover la articulación
Rigidez, sobre todo al despertar
Inflamación leve
Chasquidos al mover la articulación
Dificultad para caminar o realizar actividades cotidianas en fases avanzadas
5. ¿El desgaste articular se puede curar?
No tiene cura definitiva, pero sí existen tratamientos que controlan los síntomas, mejoran la movilidad y ayudan a retrasar el avance de la enfermedad.
6. ¿Qué tratamientos existen?
Dependiendo del grado de desgaste, el tratamiento puede incluir:
Medicamentos para el dolor y la inflamación
Ejercicios y fisioterapia
Pérdida de peso en caso de sobrepeso
Infiltraciones en la articulación
Cirugía en casos avanzados (como prótesis de rodilla o cadera)
7. ¿El ejercicio es malo si tengo desgaste articular?
No. El ejercicio adecuado y supervisado es muy beneficioso. Ayuda a fortalecer los músculos, mejorar la movilidad y reducir el dolor. Se recomiendan actividades de bajo impacto como caminar, nadar o andar en bicicleta.
8. ¿Cómo puedo prevenir o retrasar el desgaste articular?
Mantener un peso saludable
Hacer ejercicio regularmente
Evitar cargar peso en exceso
Cuidar las articulaciones después de una lesión
9. ¿Cuándo debo considerar la cirugía?
Si el dolor es constante, limita sus actividades diarias y los medicamentos ya no le ayudan, es momento de valorar un especialista en cirugía de reemplazo articular.
10. ¿La cirugía de prótesis realmente mejora la vida de los pacientes?
Sí. La artroplastia de rodilla o cadera ha demostrado ser muy efectiva para quitar el dolor, devolver la movilidad y mejorar la calidad de vida. Muchos pacientes vuelven a caminar, trabajar y disfrutar de sus actividades sin las limitaciones que tenían antes.
© 2025. All rights reserved.
Permiso de publicidad COFEPRIS: 2515122002A00068


Contacto


